入れ歯・義歯
このページの目次
津田沼前原コウノ歯科・矯正歯科の入れ歯が人気な理由

当院では入れ歯に関する「よく噛めない、痛い、外れる」などの相談を多数いただき、これまで沢山の入れ歯を制作してまいりました。そのため、習志野・飯山満・薬園台の周辺地域だけでなく船橋市全域から多くの方々にご支持いただいております。以下では津田沼前原コウノ歯科・矯正歯科が実施する入れ歯治療のこだわりをご紹介します。
患者様のご要望にお応えする多種多様な入れ歯素材をご用意

当院では患者様一人ひとりのご要望にできるだけ添えるよう、多種多様な入れ歯素材をご用意しております。口腔内状況や費用、ご希望を考慮して適切な素材のご提案に努めております。当院が取り扱う入れ歯素材とそれぞれの特徴をご紹介いたします。
見た目の良いノンクラスプデンチャー

ノンクラスプデンチャーは、部分入れ歯の固定に使用する金属製のバネ(クラスプ)を使用せず、歯肉に近い色の樹脂で固定する審美性の高い入れ歯です。弾力のある素材を使用するため、違和感なども感じにくく、金属アレルギーの方にも安心して使用していただけます。
痛みの緩和にはシリコンデンチャー

粘膜との接地面に弾力性の高いシリコン素材を使用し、咀嚼時や装着中の負担を緩和した入れ歯です。シリコンの吸着によって高い安定感が得られ、しっかりと食べ物を噛む事ができます。入れ歯の痛みにお悩みの方におすすめの素材です。
薄くて強い金属床デンチャー

入れ歯の土台となる床部分に金属を採用した入れ歯です。金属を使用する事で通常よりも入れ歯の厚みを抑える事が可能となり、装着時の違和感を軽減できます。さらに、強度も高く破損の心配もほとんどありません。金属床は熱伝導に優れ、飲食物の温度を感じる事ができるため、お食事を楽しんでいただけます。
磁石で固定するマグネットデンチャー

入れ歯の固定に一般的な粘膜の吸着ではなく、磁石の力を利用した方法がマグネットデンチャーです。歯根部分に小型の金属を埋め、入れ歯側の磁石と引き合う事により高い安定感を得る事ができます。お手入れの際には簡単に外すことができ、ストレスを感じる事もありません。
インプラントで固定力の高い入れ歯

インプラントデンチャーは粘膜の固定ではなく、顎骨に埋めた人工歯根を支柱に入れ歯を固定します。高い安定性を得る事ができるため、快適な咀嚼が可能となります。脱着も簡単にできるのでお手入れも簡単に行う事ができます。
リハビリ用義歯もございます

長い間、不適合な入れ歯を装着されていた方には、口腔内の歪みを治すためにリハビリ用の義歯もご用意しています。本入れ歯を作成する前に装着していただき、咬み合わせや顎の関節など最適化を行う事で入れ歯との適合性を高め、負担のない快適な咀嚼を実現します。口腔内の状態を診断して、必要な場合にはリハビリ用義歯の使用をご提案します。
長持ちする精密入れ歯をご提供するためのこだわり

津田沼前原コウノ歯科・矯正歯科では、患者様に快適な入れ歯を長期使用していただけるよう、精度の高い入れ歯作成をはじめ、アフターケアもしっかり行っています。入れ歯の適合性を高めるためのこだわりを御覧ください。
優秀な歯科技工士との連携

精度の高い入れ歯を制作するためには、作成に携わる歯科技工士の存在が重要となります。患者様一人ひとりの口腔内状況をしっかり理解した上で、快適な咀嚼ができる入れ歯を作成するためには、歯科技工士の高い技術力、知識、経験が必要不可欠となります。そこで当院では入れ歯の制作に定評のある熟練技工士が在籍する歯科技工所と提携し、精度にこだわった入れ歯の製作に努めております。
精度を高めるための重要な工程
シリコン素材での型取り

型ずれが生じにくいシリコン素材を使用して、歯型の採取を行います。精巧な入れ歯を作成するためには、正確な印象(設計図)が重要となります。
個人トレーで正確な筋圧形成

口腔内の運動を記録する筋圧形成では、より正確なデータを得るために患者様一人ひとりに専用の個人トレーを作成して実施します。
咬合調整の徹底

入れ歯を長くお使いいただくために、破損や不適合の要因となる咬み合わせの調整を徹底して行います。
定期的なメンテナンスが大切です
入れ歯を長期使用していただくためには、日々のお手入れと定期的なメンテナンスが重要となります。毎日使用される入れ歯は、日々の咀嚼や会話によって負担がかかるため、破損したり、少しずつお口と合わなくなっていきます。
さらに、口腔内の状況も日々変化をしますので定期的なメンテナンスを行い、お口と入れ歯両方の状態を良好に保つことが、快適な入れ歯生活の秘訣といえます。当院では定期メンテナンスやアフターケアもしっかりサポートしておりますので、どうぞご安心ください。
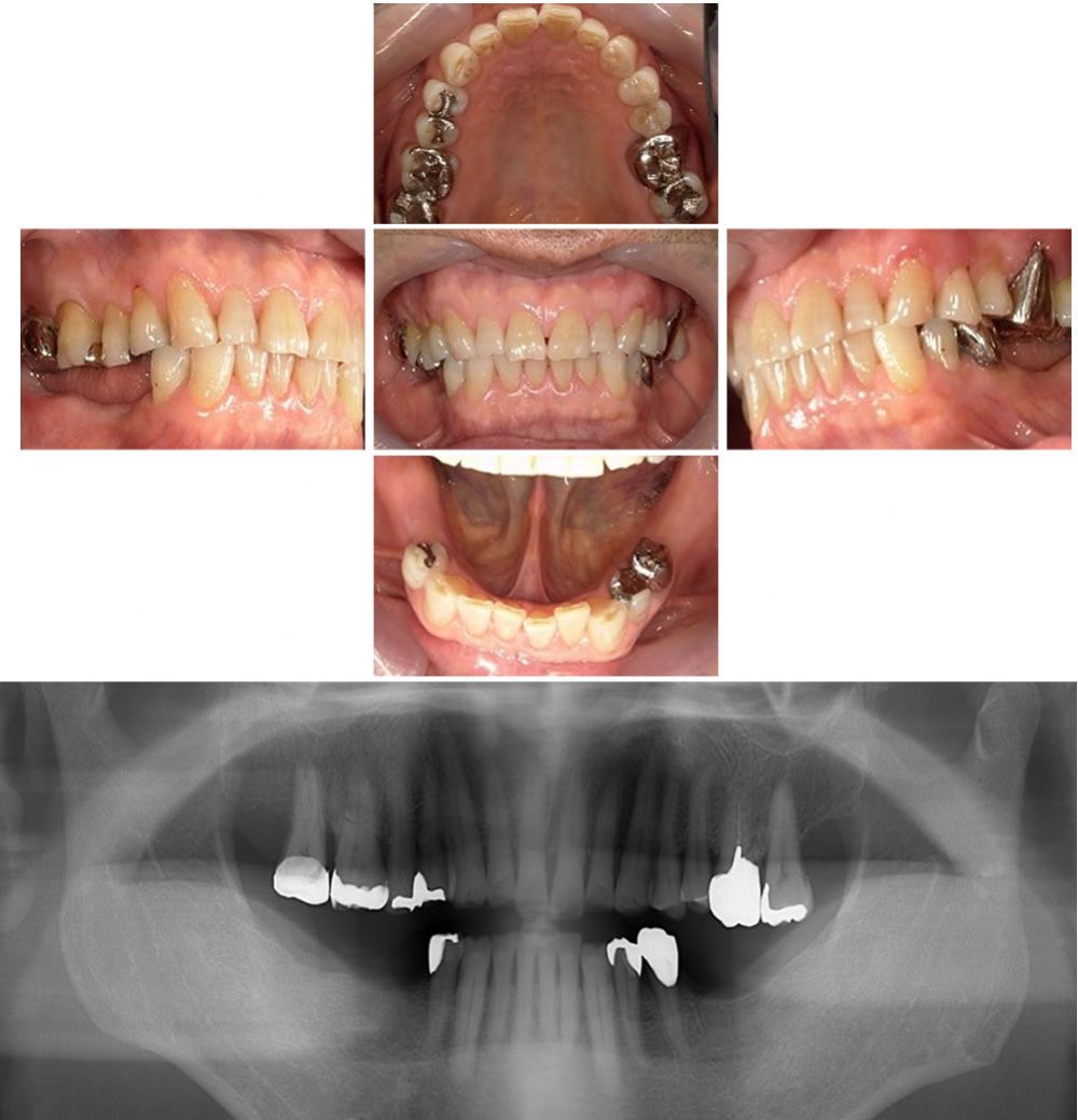
見えにくいクラスプと金属床の部分義歯で治療した症例
下の入れ歯が痛くて入れてない、痛くて噛めないことを主訴としご来院された患者様に目立たないクラスプ(金属のバネ)と金属床の部分義歯を用いて咬み合わせを回復した症例をご紹介します。
初診時の口腔内
患者様は60代の男性です。現在、入れ歯は痛くて入れていないということでした。お口の中の状態を調べるためにパノラマX線撮影をしました。初診時の口腔内写真とパノラマX線写真です。
左右側ともに上の奥歯が下に伸びてきてしまっています。また、咬み合わせが強く下の前歯の切端が大きく削れています。
被せ物・部分義歯の作成
入れ歯治療完了
下の奥歯に義歯を入れるスペースを確保し、さらに金属床にしたことにより以前より薄く異物感が軽減したとのことで患者様の満足を得られました。
| 年齢・性別 | 60代男性 |
|---|---|
| 治療期間 | 6ヶ月 |
| 治療費 | 約660,000円/税込(上顎:かぶせ物治療/下顎:義歯治療) |
| リスク・注意点 | 義歯は取外し可能なものですので、日常的なお手入れが必要です。 |
入れ歯の費用
※下記すべて税込となります。
▼総入れ歯
| 名称 | イメージ | 特性 | 料金(税込) |
|---|---|---|---|
| 暫間義歯 | ![]() |
抜歯した後に歯ぐきの回復をまって、回復後の歯ぐきの状態に合わせて本番の入れ歯を作りますが、回復を待っている間に装着するリハビリ用の暫定的な入れ歯のことです。現在の歯科医療保険制度では、この暫定入れ歯は保険適用にて作ることができません。 | 33,000円 |
| 金属床(コバルトクロム) | ![]() |
義歯床が薄く張り付くようなでフィット感です。自然な舌感で熱も感じるので食事のストレスもありません。丈夫で破折しにくいうえ、変形もほとんどしません。 美しさ:★★★ 耐久性:★★★★ |
330,000円 |
| 金属床(チタン) | ![]() |
金属床は、当医院では基本コバルトクロムを取り扱っていますが、金属アレルギーの方にはこちらをおすすめいたします。 美しさ:★★★ 耐久性:★★★★ |
440,000円 |
| レジン床 | ![]() |
保険適用の義歯です。合成樹脂を使っており、分厚く重くなってしまいます。そのために熱伝導率も悪く、味覚が損なわれてしまいます。 | 保険適用 |
▼部分入れ歯
| 名称 | イメージ | 特性 | 料金(税込) |
|---|---|---|---|
| 暫間義歯 | ![]() |
抜歯した後に歯ぐきの回復をまって、回復後の歯ぐきの状態に合わせて本番の入れ歯を作りますが、回復を待っている間に装着するリハビリ用の暫定的な入れ歯のことです。現在の歯科医療保険制度では、この暫定入れ歯は保険適用にて作ることができません。 | 22,000円 |
| 金属床(コバルトクロム) | ![]() |
義歯床が薄く張り付くようなでフィット感です。自然な舌感で熱も感じるので食事のストレスもありません。丈夫で破折しにくいうえ、変形もほとんどしないため、固定する残存歯を傷つけずにすみます。 美しさ:★★★ 耐久性:★★★ |
330,000円 |
| 金属床(チタン) | ![]() |
体内に埋め込むことができるほど安全で金属アレルギーの最も少ない金属です。丈夫で軽いため違和感があまりありません。プラスチック義歯よりも汚れがつきにくいので清潔に保つことができます。 美しさ:★★★ 耐久性:★★★★ |
330,000円 |
| スマイルデンチャー(ノンクラスプデンチャー) | ![]() |
部分入れ歯の留め金が歯ぐきの色をしているため、ほとんど目立ちません。装着感もよく入れ歯でいることを忘れるほどに噛めます。金属アレルギーの心配がありません。 美しさ:★★★★★ 耐久性:★★★★ |
165,000円 |
▼義歯加工(入れ歯固定力向上オプション)
| マグネット装置 | ![]() |
歯科用の小さな磁石を義歯に埋め込み、安定力をアップさせ、ずれにくくします。 | 55,000円/1歯 |
|
コーヌスデンチャー |
![]() |
歯にセメントで内冠をつけ、義歯と外冠を合体させたものを上から被せます。 外冠と内冠が茶筒のようにぴったりと合い、クラスプを必要としません。安定感が非常に高く、しっかりと噛むことができます。 美しさ:★★★★ 耐久性:★★★★ |
内冠 66,000円 外冠 99,000円 |
| アタッチメント装置 | ![]() |
歯科用の小さな磁石を義歯に埋め込み、安定力をアップさせ、ずれにくくします。 |
55,000円/1歯 |
| インプラント義歯 | ![]() |
インプラントを支柱に義歯を固定します。 | 義歯アタッチメント 88,000円/1歯 フィーメール交換 16,500円/1歯 ロケーター 61,200円/1歯 ディスク交換 16,500円/1歯 |
習志野・飯山満・薬園台周辺で精度の高い入れ歯製作なら当院へ

津田沼前原コウノ歯科・矯正歯科では、あらゆるご要望にお応えするため豊富な入れ歯素材を取り揃えております。また、入れ歯を長期使用していただくため、優秀な技工士との連携や、一つひとつの工程にこだわって製作をしております。これまでの入れ歯治療で満足を得られなかった方や、初めての入れ歯治療をご検討中の方は、ぜひ当院までお気軽にご相談下さい。


















