矯正歯科・マウスピース矯正
このページの目次
費用を抑えて歯並び改善!エミニナル矯正について

津田沼前原コウノ歯科・矯正歯科は「矯正治療のプロである、矯正ドクターが必ずあなたの担当医になる」がコンセプトのマウスピース矯正『エミニナル矯正』の提携クリニックとして参加しました。
エミニナル矯正の3つの特徴
- 月々約3,600円から治療可能*
- 目安の治療期間は3ヶ月〜*
- 提携クリニック全国拡大中
治療費用の目安は【軽度〜中度13万円〜47万円】です。
矯正治療をご検討している方はぜひ、来院時受付にお声がけください。
※1:月々約3,600円〜:デンタルローンを利用して治療期間が5ヶ月(22万円:税込)を60分割した場合の手数料抜きの月額費用です。
※2:治療期間には個人差があります。また保定期間は含みません。
※3:矯正ドクター:矯正治療を専門としている歯科医師
※4:治療費用は矯正治療完了後に必要なリテーナーの料金は含まれておりません。
※5:自由診療のため保険適用外です。
※6:治療費用総額は、患者様の歯並びや噛み合わせの状態によって変動いたします。
※7:定期購入プランの場合、月2.2万円(税込)から始められます。
患者様一人ひとりに適切な矯正治療のご提案をいたします

津田沼前原コウノ歯科・矯正歯科では、日本矯正歯科学会認定医が矯正治療を担当し、審美性に配慮した矯正装置や非抜歯での矯正法にこだわって、患者様一人ひとりに適切な矯正治療のご提供に努めております。歯並びや咬み合わせでお悩みの方はお気軽にご相談下さい。
日本矯正歯科学会認定医について
日本矯正歯科学会認定医とは、学会が指定した施設にて5年以上臨床経験を積み、論文発表や規定の試験に合格するなどの条件を満たした、矯正治療を専門とする歯科医師です。
見た目だけでなく、咬み合わせもしっかりと考慮し、無理のない治療計画をご提案いたします。
審美性にこだわった矯正装置で快適な治療をご提案
一般的な矯正装置は歯の表面に金属を使用するため、審美性の低さを理由に歯列矯正に踏み出せない方も少なくありません。津田沼前原コウノ歯科・矯正歯科では、どなたにも見た目を気にせず、歯列矯正を行っていただけるよう、審美性にこだわった矯正装置での治療をご提案しています。
マウスピース型矯正装置

インビザラインは、マウスピース型の矯正装置を使用して行う矯正方法です。自身で脱着が出来るため、食事や歯磨きの際に煩わしさを感じる事がありません。素材は柔らかく、透明なため、目立たず安全な歯列矯正が可能です。※大きく歯を動かすような症例には適用できない場合があります。
リンガル(舌側)矯正装置

金属のブラケットとワイヤーを使用した矯正装置を、歯の表面ではなく舌側に装着して行う矯正方法です。歯の裏側に装着していますので審美性も高く、矯正中である事が気づかれません。接客業や営業職など人前に出る事が多い職業の方におすすめの矯正法です。
白色ブラケット矯正装置

一般的な矯正装置の部品を金属ではなく、歯の色調に近い素材を採用した矯正装置です。歯の表面に装着しても、歯の色と同化しているため目立つことはなく、周囲から気づかれにくい矯正方法です。金属特有の威圧感も緩和されますので、表情も柔らかく見えます。
当院の矯正医師が実施した矯正治療例と解説
▼写真クリックで拡大してご覧いただけます。
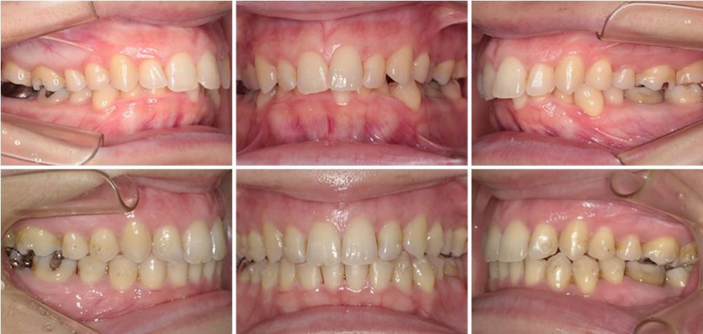
30代 叢生・八重歯の矯正治療例
治療期間:18ヶ月
抜歯:親知らず
治療費:770,000円/税込 IPRあり
【リスク・注意点】
・矯正に伴う鈍痛を感じる場合がある
・保定処置を実施しないと歯が後戻りする場合がある など
30歳代の女性です。前歯のデコボコが気になるとのことで来院されました。デコボコの度合いが中等度であったため、抜歯をしない治療か抜歯を行う治療か、それぞれのメリット、デメリットをご本人にお話し治療方針を決めました。治療後は歯並び、咬み合わせともにに満足して頂きました。
10代 上顎前突(出っ歯)の矯正治療例
治療期間:27ヶ月
抜歯:上の左右1本ずつ
治療費:770,000円/税込
【リスク・注意点】
・矯正に伴う鈍痛を感じる場合がある
・保定処置を実施しないと歯が後戻りする場合がある など
大学生の男性です。前歯が出ている、いわゆる出っ歯症状で、口が閉じづらいとのことで来院されました。治療方針は上の前歯を後ろに下げるため、上の左右の歯を1本ずつ抜歯して矯正治療を行いました。治療後、口元がすっきりし、歯並び、咬み合わせにも大変満足して頂きました。
10代 叢生・八重歯の矯正治療例
治療期間:25ヶ月
抜歯:上下左右1本ずつ
治療費:880,000円/税込
【リスク・注意点】
・矯正に伴う鈍痛を感じる場合がある
・保定処置を実施しないと歯が後戻りする場合がある など
大学生の男性です。上の2番目の前歯が中に入っている、歯みがきがやりずらいとのことで来院されました。デコボコの度合いが中等度であったため、抜歯をしない治療か抜歯を行う治療か、ご本人とよくお話し治療方針を決めました。治療方針として上下左右の歯を1本ずつ抜歯して矯正治療を行いました。歯並び、咬み合わせにも大変満足して頂きました。
30代 叢生・八重歯の矯正治療例
治療期間:22ヶ月
抜歯:上下左右1本ずつ
治療費:770,000円/税込
【リスク・注意点】
・矯正に伴う鈍痛を感じる場合がある
・保定処置を実施しないと歯が後戻りする場合がある など
上下の前歯のデコボコ、口元が出ていることが気になるとのことで来院されました。仕事で海外によく行かれており、海外の方の歯並びがきれいなことを見て矯正治療を行う決断をされたそうです。治療方針として口元を下げるために上下左右の歯を1本ずつ抜歯して矯正治療を行いました。歯並び、咬み合わせ、そして左の上下の親知らずも保存でき大変満足頂きました。
10代 空隙歯列(すきっ歯)の矯正治療例
治療期間:30ヶ月
抜歯:上の左右1本ずつ
治療費:880,000円/税込
【リスク・注意点】
・矯正に伴う鈍痛を感じる場合がある
・保定処置を実施しないと歯が後戻りする場合がある など
高校生の女性です。前歯の隙間、前歯が出ているとのことで来院されました。治療方針は上の前歯を後ろに下げるため、上の左右の歯を1本ずつ抜歯して矯正治療を行いました。治療後、口元がかなりきれいになり、親御様、ご本人も歯並び、咬み合わせに大変満足して頂きました。
10代 叢生・八重歯の矯正治療例
治療期間:36ヶ月
抜歯:上下左右1本ずつ
治療費:770,000円/税込
【リスク・注意点】
・矯正に伴う鈍痛を感じる場合がある
・保定処置を実施しないと歯が後戻りする場合がある など
大学生の男性です。上下の前歯のデコボコが気になるとのことで来院されました。デコボコの度合いが重度であったため、治療方針として上下左右の歯を1本ずつ抜歯して矯正治療を行いました。治療期間が長くなってしまいましたが、歯磨きが簡単になったと言って下さり、咬み合わせにも大変満足して頂きました。
40代 過蓋咬合の矯正治療例
治療期間:8ヶ月
抜歯:なし
治療費:1,045,000円/税込
【リスク・注意点】
・歯の移動による痛みを感じることがあります
・治療後保定装置を使用しないと後戻りをします など
【備考】
・日中の食いしばり、夜間の歯ぎしりあり
・インビザラインによる矯正治療
40代の女性です。上の歯の突出感と下の歯の凸凹を気にされて来院されました。
分析の結果、かみ合わせがかなり深く、通常のワイヤー矯正では最初にかみ合わせを上げる処置が必要になり、治療期間が長くなることから、インビザラインによる治療を選択しました。
また全体的に上の歯が前に出ているため、上の奥歯から一本ずつ後ろに送り、前歯の出ている状態を改善、下の歯はやすり掛けをして少し歯のサイズを小さくしながら凸凹を治しました。
マウスピース矯正の多くは奥歯を動かすことができるものは少なく、今回の場合凸凹をとるだけだと出っ歯になってしまうのですが、インビザラインは奥歯の移動を得意としているため、前歯の関係も改善されました。
10代 叢生・八重歯の矯正治療例
治療期間:36ヶ月
抜歯:上下左右1本ずつ
治療費:1,045,000円/税込
【リスク・注意点】
・歯の移動による痛みを感じることがあります
・治療後保定装置を使用しないと後戻りをします など
【備考】
・親知らずを利用
10代の女性です。上の歯の突出感と上下の歯の凸凹を気にされて来院されました。
分析の結果、上下左右の歯を一本ずつ抜歯を行いました。上下の凸凹をとるだけだと、出っ歯が残るため、アンカースクリュー(ネジ)を上の顎にいれて、全体的に後ろに下げるプランと、追加で上の左右の奥歯を抜くことによって前歯を下げるプランを提示したところ、患者様はアンカースクリューを打つよりも、奥歯を抜くことのほうが抵抗がないということで、後者を選択していただきました。
上の奥歯を抜く場合、親知らずを使用することになるので、親知らずが生えるのを待つために治療期間が長くなりましたが、出っ歯は改善され、ご本人もゴムの使用をかなり頑張っていただいた為、治療目標を達成することができました。
数本の歯並びを改善する部分矯正にも対応しています

少し飛び出ている歯や、前歯の隙間が気になると言う方に、一本から歯並びを整える事が出来る部分矯正にも対応しています。歯列を大きく動かす全顎矯正に比べ、部分矯正は動かす歯の量も少なく、少しの移動で完了するため違和感も感じにくいのが特徴です。また、元の歯並びにもよりますがおよそ3ヶ月から半年程で治療を終える事が可能です。症例によっては、全顎矯正をおすすめする場合もございますので、ご検討中の方はお気軽にご相談下さい。
出来るだけ非抜歯で矯正治療を行うために

一般的な歯列矯正では、歯を動かす十分なスペースを得るため健康な歯を抜歯する事も少なくありません。しかし、当院では患者様の大切な歯を出来るだけ維持していただくため「非抜歯矯正」にこだわり矯正治療を行っています。
遠心移動によるスペースの確保

奥歯をさらに奥へ移動する「歯の遠心移動」によって矯正治療に必要なスペースを獲得します。インプラントアンカーやマウスピース矯正装置を使用して、少しずつ歯を移動させていきます。マウスピース型矯正装置インビザラインは非抜歯矯正におすすめの方法です。
歯の側面を削ってスペースを確保

歯の側面からエナメル質を少しずつ削る事によって、矯正に必要なスペースを獲得する方法で、IPR(Inter Proximal Reduction)やストリッピングと呼ばれています。歯の隣接部分を片面0.2mm~0.3mmほど削り、必要なスペースに合わせて調整します。歯の健康状態には問題ありませんのでご安心下さい。
成人矯正の費用
※下記すべて税込となります。
| 名称 | イメージ | 特性 | 料金(税込) |
|---|---|---|---|
| 矯正相談 | ![]() |
お口の中を拝見し治療の期間や装置、費用などについて充分な時間をかけて説明をさせていただきます。必要があればレントゲンを撮影します。 | 無料 |
| 検査・診断 | ![]() |
歯の型、顎、頭蓋骨のレントゲン(※全顎のみ)、顔や口の中の写真を撮ります。 | 全顎矯正検査・診断料 45,000円 部分矯正検査・診断料 6,000円 |
| マウスピース矯正(インビザライン) | ![]() |
マウスピース矯正は、透明に近いマウスピース型の矯正装置を歯に装着して歯並びを矯正する方法です。一人ひとりの歯に合わせて作製される矯正装置を装着し、治療の段階に合わせて新しい装置に交換しながら徐々に歯を動かし、歯並びを矯正します。 矯正治療終了後は来院毎に矯正観察料として3,000円(税込)お支払い頂きます。 |
インビザラインのみ 1,100,000円 (装置代・管理料込) インビザラインとワイヤーを用いる場合 1,200,000円 (装置代・管理料込) |
| ワイヤーを用いる矯正装置 | ![]() |
歯にブラケットを貼り付けて歯を動かす方法です。一般的な大人の成人の矯正治療です。 | 基本施術料 990,000円 (装置代込) |
| ホワイトワイヤー矯正(表側の矯正装置) | ![]() |
金属ではなく、単結晶サファイア素材でできた透明の装置ですので目立ちません。 | 1,000,000円 (装置代込) |
| 舌側矯正(裏側の矯正装置) | ![]() |
歯の内側にワイヤーを架け、外からは器具がまったく見えないようにします。 | 舌側矯正(上顎)+ホワイトワイヤー(下顎) 1,200,000円 (装置代込) 舌側矯正 1,350,000円 (装置代込) |
| 部分矯正(MTM) | ![]() |
部分的な矯正です。歯を1本~数本移動させ、隙間が空いてしまっている歯や、傾いている歯を正しい並びに整えます。 | 200,000円~ (装置代込) |
| 便宜抜歯 | ![]() |
矯正治療を行う上で便宜的に歯を抜く場合があります。 | 7,000円~/1本 |
| 矯正管理料 | ![]() |
矯正治療開始後、ご来院毎にお支払い頂きます。 | 6,000円 |
| 保定装置 | ![]() |
治療終了後、歯並びを安定させるための装置です。 |
【取り外し式】 【固定式】 |
習志野・飯山満・薬園台周辺で歯並びを改善したい方へ

津田沼前原コウノ歯科・矯正歯科では、日本矯正歯科学会認定医が患者様の歯列のお悩みに対して適切な治療法を実施し、理想の歯列実現に努めております。また、矯正装置も審美性の高いものをご用意しておりますので、見た目が気になって踏み出せなかった方もこの機会にぜひ、ご検討下さい。習志野・飯山満・薬園台周辺で可能なかぎり歯を抜かない矯正治療をお探しの方は、当院までお気軽にご相談下さい。





















